Schedule
Appointment
Skip to content
Proudly serving Nanaimo & surrounding areas
250-756-1666
lakesidedentalclinic@shaw.ca
Home
About Us
Dental Implants
FAQ
Photos
Contact Us
Home
About Us
Dental Implants
FAQ
Photos
Contact Us
Photos
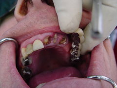
Before - Hopeless teeth
After - Sinus bone grafting and 10 implants
Before- loss of remaining teeth
After- 6 implants
Before - Failing crown and old worn teeth
After - Implant and aesthetic veneers
Before - Old collapsed appearance
After - Youthful appearance restored
Want to Book a Consultation?
Contact Us